In fact, here in L.A., more than 70% of motor vehicle accidents are proceeded by the words, "Do you know who I am?"
Back in December, I mentioned my incredibly lucky crash... and today I’m going to talk about my second incredibly lucky crash on April 13th, 2016.
I was on my way to Jack’s house to meet him and Andrew. It was about 8 or 9 pm and therefore dark; I was puttering my way south, my backpack with my laptop on my back, hoping to get caught up on some work. I was only a few blocks away. A car beside me began to slow down for an intersection.
Moron, I thought.
The light turned yellow.
The slowing-down car stopped. But I was already committed to making the light. Needless to say… I didn’t.
As I entered the intersection, so did another vehicle. I couldn’t tell you the make or model or color. I can only tell you that it was trying to make a left before the light changed, and that the driver gunned it, and we collided going about 35 mph. I hit the hood at an angle and went flying over it.
There was no pain, just the loud crash of the collision and an overload of sensory information. There was no time to lay down the bike or do anything other than float through the air. I impacted the ground with a surprisingly painless whump and slid through the intersection, thereby technically making the light.
For a while I lay there, dazed. My view was a pretty cinematic one. The asphalt was black and seemed to stretch out indefinitely. In the distance, the sickly-orange glow of the streetlights looked like fireflies, and shadowy figures were moving with a swaying, watery motion. Their faraway babble was nice. Slowly, I came to realize one voice was louder than the others. It was a woman, yelling, “He’s dead! Oh, Lord, Jesus, he’s dead!”
That poor woman, I thought sympathetically from the pavement. I’m not dead.
For her sake, I threw a thumbs-up in the air.
A few moments later I was struggling into a seated position. People were surrounding me. I looked around for trusty old Veronica, but my bike was gone, inexplicably replaced by a smoking heap of scrap metal.
That bit of green in the front wheel is one of my socks.
“Get down! Don’t try to get up!” urged the crowd.
I ignored them, pulling off my helmet. I was breaking out in a cold sweat and was imminently about to throw up. I tried to stand but my legs weren’t working. “I think my leg’s broken,” I announced casually, struggling with my jacket. Someone stopped me from taking off my shirt. I asked for water.
“I have water, but it’s baby water, is that okay?” asked a woman.
I told her it was fine while wondering why babies need special water.
This is a thing, apparently.
“Do you want me to call someone?” she asked anxiously.
I said no. I didn’t want to worry Andrew. But then I remembered that Veronica, who I’d recently taught him to ride, was obliterated, and decided he was probably going to find out eventually. So I asked her to call him. She did, failing to give any details other than that I was lying on the pavement and the paramedics were coming.
He showed up before they did to find me reassuring the man who hit me that there were “no hard feelings.” (I was in a lot of shock.)
The paramedics showed up and began strapping me to a board and putting a stiff plastic collar on my neck. I helpfully informed them that my leg was broken. They said something to the tune of, “Yeah, no shit.”
Spoiler alert: It was indeed broken.
I spoke with a police officer in the ambulance and chatted with the EMT because I had some sort of vague impression that I wasn’t doing well and needed to convince him I was.
I also called my boss to inform her that I wouldn’t be in the next day but would like, totally probably be in the day after. The paramedics had a good chuckle over that.
Once in the ER, they came at me with the morphine.
“I’m allergic to morphine,” I said helpfully.
They asked me what I wanted to do.
“Do what you need to do,” I said with the sort of cheery bravado that comes from probably having a concussion. “Let’s rock and roll!”
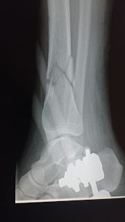
With a shrug, they gave me some gauze and splinted the leg. I don’t remember a lot from this except that I did a good job of not vomiting. I asked the nurse to taking some pictures of my leg. They cleaned it out, finding a variety of gravel, glass, and bone splinters.
The rest of the night is lost to the labyrinth of trauma, but I know I had an MRI and a CAT scan. They told me I was lucky, and that it was almost a miracle that I’d only sustained injuries to my left leg. The leg in question, unfortunately, was in pieces, shattered like glass, and on top of that, my knee had cracked. It would need surgery, they said. They refused to give me any water, explain what surgery was needed, or introduce me to a doctor. I complained a lot. Andrew snuck me ice chips when my mouth got so dry it started frothing a little.
One surgery later, I was better in the sense that I was now partially a cyborg and also in excruciating pain.
I mean, I know I like Iron Man and all, but this is just ridiculous.
The silver lining during this whole mess was the outpouring of support from my friends, who sent flowers, brought food, and visited me for company, even though doing so often involved bringing me a bedpan and watching me argue with the nurses about the correct way to insert an IV.
After nine days of explaining that chicken isn’t vegetarian and “morphine allergy” means “no morphine” because “morphine” will “kill me,” I went home, where I took up residence on the couch for the next month while Andrew scrambled to adjust to being solely responsible for a house full of animals and a disabled fiancée.
The most pressing question everyone has for me, of course, is whether or not I will ever walk or ride again. And I’m pleased to say that the answer is yes, because you can’t keep a good man down, and while I wouldn’t ever want to experience this again, it’s given me a new perspective on both life as a disabled person and how lucky I am for this to be temporary and for this accident to be the non-lethal kind.
Rest in pieces, Veronica, you beautiful bitch. You’re riding with the angels now.
R.I.P. Veronica, 1992 - 2016
See below for a fun album of my bone being broken and then (sorta) fixed (well... stabilized, anyway) via an external fixator! (Warning: mild gore.)
Like I said, though, I should walk again soon. CAN'T KEEP A GOOD MAN DOWN.
Someday I will do this again!
Maybe not in the next year... but some day!
Maybe not in the next year... but some day!


















































